보건복지부지정 관절전문병원 순천하나병원, 4세대 무지외반증 수술(MITA) 후 금속제거술까지의 모든 것
페이지 정보
본문
안녕하세요 :-)
보건복지부지정 관절전문병원 순천하나병원입니다.
작년에 4세대 무지외반증 수술 미타(MITA)에 대해서
처음으로 소개했었는데요~
오늘은 미타 수술 6개월 후 금속나사 제거술
사례에 대해
알려드리려고 합니다.
4세대 무지외반증 수술(MITA) 후
금속나사 제거 사례
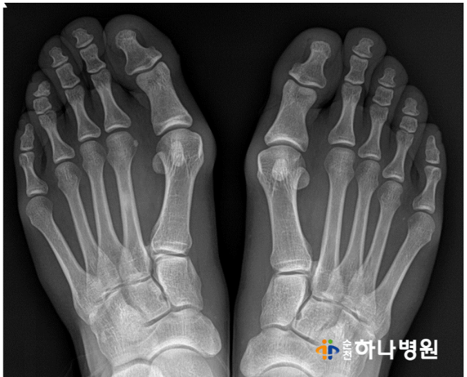
1) 수술 전 : 활동 시 통증과 변형
순천하나병원에 내원하신 30대 남자 환자!
젊고 활동적인 분으로 활동 요구도가
매우 높은 분이었는데요,
직업 또한 험한 산 등반을 필요로 하는 분이었습니다.
산 등반 시 심한 통증이 있어 근무가 힘드시다고
본원 김민광 원장을 찾아오셨다고 해요!
x-ray와 각도를 확인 한 결과
우측 ( 무지외반각도 31' / 제1-2 중족골간각도 16' )
좌측 ( 무지외반각도 25' / 제1-2 중족골간각도 16' )
양쪽 모두 '중등도 변형'을 나타내고 있는 상태!!


사진 상으로 양측 모두 엄지발가락이 두번째 발가락을
밀어 내고 있고, 제 1중족골두가 툭 튀어 나와있는 모습이
뚜렷했습니다.
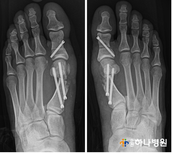
2) 수술직후 : 4세대 미타(MITA)로 교정

수술 직후 x-ray 사진입니다.
수술 전과 비교했을때 확연히
달라진 것을 확인할 수 있습니다!
4세대 무지외반증 수술 미타(MITA)는
2~3mm 정도의 미세한 구멍으로
특수 나사못을 이용하여 교정을 합니다.
실시간 영상장치를 보면서 특수기계를
삽입하여 세밀하게 뼈를 절골한 후
올바른 배열로 배치합니다.
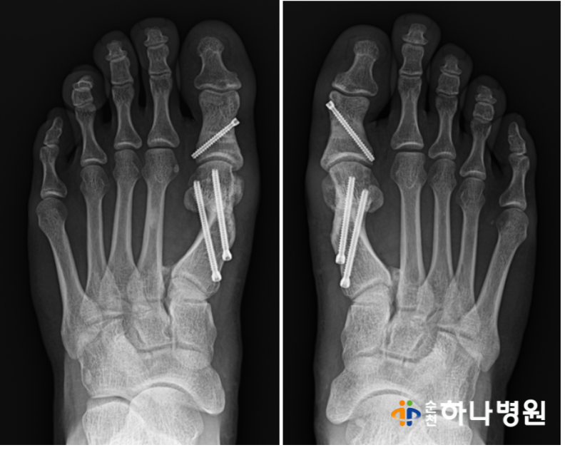
3) 수술 6개월 후 : 일상생활 & 업무 복귀
환자분은 현재 직장을 복귀했다고 합니다.
험한 산 등반 시에도 불편감이 없다고 하는데요~
미타 수술은 회복속도가 빨라
일상생활로의 빠른 복귀가 필요한
환자분에게 맞는 수술 방법입니다.
무지외반증 수술 후 각도 확인 결과
우측 ( 무지외반각도 31' / 제 1-2중족골간각도 16')
→ (무지외반각도 9' / 제1-2중족골간각도 7')
좌측 (무지외반각도 25' / 제1-2 중족골간각도 16')
→ (무지외반각도 9' / 제1-2 중족골간각도 8')
모두 중등도 변형에서 '정상'으로 회복된 모습을
확인할 수 있습니다.


사진에서도 보시다시피
양측 모두 엄지발가락 2번째 발가락을 밀지 않고
평행한 모습을 보실 수 있습니다^^
제1중족골두가 툭 뒤어 나와있던
부분 또한 없어진 모습!
흉터도 최소화된 점이 미타(MITA)의
큰 장점 중 하나입니다^^
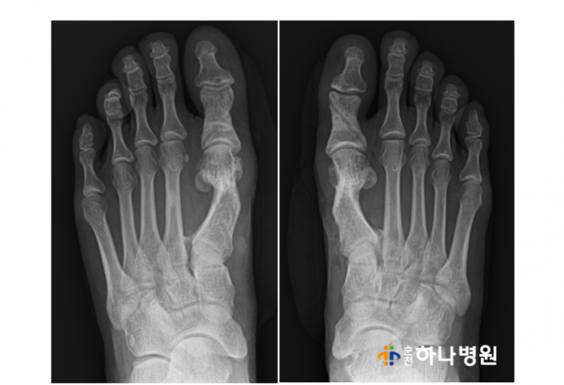
4) 금속나사 제거 수술
특수나사는 굳이 제거하지 않아도 되지만
환자분이 제거를 원할 경우 수술 6개월 후
똑같은 방법으로 제거도 가능합니다.
5) 금속나사 제거 수술 이후 : 바로 일상으로
금속 나사못도 깔끔하게 잘 제거가 됐습니다.
수술 이후 보조기 없이 바로 일상생활이
가능하고 상처 또한 똑같은 미타 방식으로
최소화 되어 나중에 흉터 또한 작습니다.

이번 환자분은 양측 중등도 변형에서 정상범위로
교정되고, 빠르게 직장생활에 복귀하여
등산 업무까지 무리없이 가능한 상태로
회복 하였습니다.
현재 금속나사 제거까지 깔끔하게 마무리 되었는데요~
미타수술은 빠른 회복, 적은 흉터라는 장점으로
빠른 업무 복귀를 해야하는 환자들에게
적합한 수술 방법입니다.
무지외반증으로 통증이 있거나 발 모양 변형이 있는
직장인 분들은 MITA 전문의 상담을 받아보시기 바랍니다^^
※ 개인별 상태와 직업/운동 특성에 따라
치료 계획과 회복 속도는 달라질 수 있습니다.
정확한 진단과 계획 수립을 위해 전문의 상담을 권합니다.
- 이전글관절전문 순천하나병원, 안현욱원장의 9월 직원대상교육 주제는 무릎인공관절 로봇수술(ROSA) 25.10.01
- 다음글순천하나병원 신장내과 정종혁원장, KBS라디오상담실출연 <당뇨병과 신장질환> 25.09.19
댓글목록
등록된 댓글이 없습니다.






